Good pre-procedural planning improves the outcome

For almost every interventional case a pre-procedural CT-scan is performed. The analysis allows you to assess the success rate and to develop a specified revascularization strategy. That leads to an accelerated intervention time and better outcome.
Case presentation
A 65 yo male with severe buttock claudication. Open aortic reconstruction with aorto-bi-iliacal prothesis 20 years ago. Stenting of the right external iliac artery with accidental closure of the right hypogastric artery before 12 years due to overstenting. Left hypogastric artery already closed by calcification since 19 years.
Case planning
I opted for a transbrachial recanalization of the left hypogastric artery. With the pre-procedural CT-scans a 3D-reconstruction of the iliac bifurcation was performed. With these pictures it is possible to simulate an inravascluar view. This perspective revealed the origin of the occluded hypogastric artery with a small deepening. This is exactly the location where you can anchor your guidewire during the intervention.

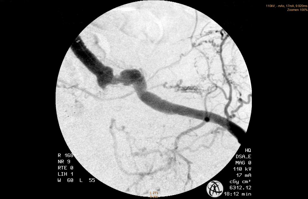
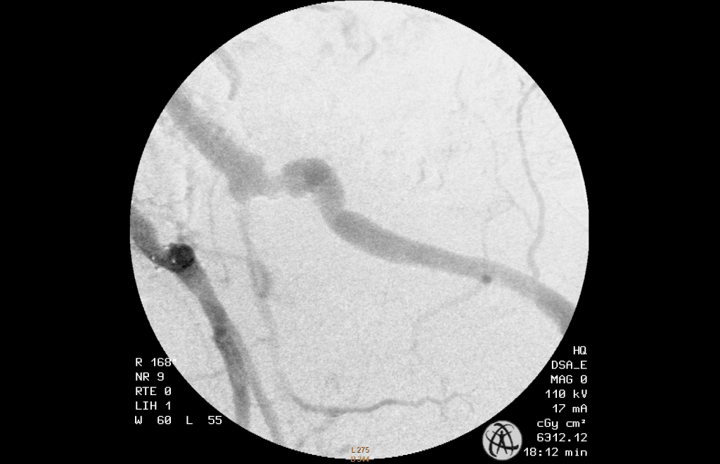
Procedure
A left brachial access was established and a long sheath placed at the entry of the hypogastric artery. Afterwards it was easy to anchor the guidewire in the small deepening, enter and cross the leasion with the help of a support catheter. The correct intraluminal position past the leasion was confirmed. After pre-dilatation the leasion was stented with a 5mm BMS .




The patient described a pain relief and the 6 month follow-up showed a patend hypogatsric artery.
